Ukázka použití
Výpis článků

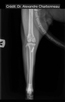
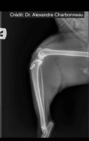
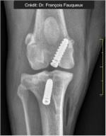
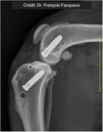
Mimokloubní stabilizace, která je dlouhodobě pevná, bez uzlů a zvlnění.
Ruptura kraniálního zkříženého vazu je hlavní příčinou ortopedických konzultací u psů. Tento stav se obvykle léčí chirurgicky pomocí osteotomických technik, mimokloubní stabilizace nebo intraartikulární rekonstrukce.
V případě ruptury kraniálního zkříženého vazu umožňuje ExtraTape® extraartikulární rekonstrukci co nejblíže izometrii původního vazu, čímž rychle a trvale stabilizuje koleno bez uzlů a zvlnění, což je slabina tradičnějších technik extraartikulární stabilizace. Ty jsou zde nahrazeny pevným ukotvením kosti pomocí interferenčního šroubu.

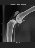
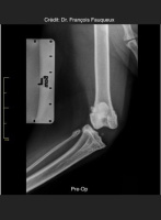
Řešení, které respektuje původní anatomii, obnovuje funkci postiženého vazu a je dostupné v rámci otevřené nebo artroskopické chirurgie.
Izolované ruptury kaudálního zkříženého vazu jsou vzácné a existuje jen málo řešení.
NOVALIG® je syntetický vaz, který lze použít k rekonstrukci vazů a rychlému obnovení jejich fyziologických funkcí.
V případě zkřížených vazů umožňuje intraartikulární rekonstrukci v izometrických bodech připojení, čímž obnovuje biomechaniku kolene a všechny funkce natrženého vazu.
V případě více vazů kolene (kraniální, kaudální, kolaterální) je možné pomocí NOVALIG® anatomicky rekonstruovat každý vaz.
Radiologické snímky








































